Lumbar Hernia Grynfeltt . the aim of the study was to describe the transabdominal laparoscopic. grynfeltt's lumbar hernia is a rare abdominal wall pathology with around. lumbar hernias occur through defects in the lumbar muscles or the posterior fascia, below the 12 th rib and above the iliac crest.
from www.emedicalacademy.com
lumbar hernias occur through defects in the lumbar muscles or the posterior fascia, below the 12 th rib and above the iliac crest. grynfeltt's lumbar hernia is a rare abdominal wall pathology with around. the aim of the study was to describe the transabdominal laparoscopic.
Primary Lumbar Hernia and PointofCare Ultrasound Diagnosis
Lumbar Hernia Grynfeltt grynfeltt's lumbar hernia is a rare abdominal wall pathology with around. the aim of the study was to describe the transabdominal laparoscopic. grynfeltt's lumbar hernia is a rare abdominal wall pathology with around. lumbar hernias occur through defects in the lumbar muscles or the posterior fascia, below the 12 th rib and above the iliac crest.
From roentgenrayreader.blogspot.com
Roentgen Ray Reader GrynfelttLesshaft Hernia Lumbar Hernia Grynfeltt lumbar hernias occur through defects in the lumbar muscles or the posterior fascia, below the 12 th rib and above the iliac crest. the aim of the study was to describe the transabdominal laparoscopic. grynfeltt's lumbar hernia is a rare abdominal wall pathology with around. Lumbar Hernia Grynfeltt.
From www.researchgate.net
(a) The superior lumbar triangle bordered by the 12th rib, internal Lumbar Hernia Grynfeltt lumbar hernias occur through defects in the lumbar muscles or the posterior fascia, below the 12 th rib and above the iliac crest. the aim of the study was to describe the transabdominal laparoscopic. grynfeltt's lumbar hernia is a rare abdominal wall pathology with around. Lumbar Hernia Grynfeltt.
From www.semanticscholar.org
Figure 1 from GrynfelttLesshaft lumbar hernia a rare cause of bowel Lumbar Hernia Grynfeltt lumbar hernias occur through defects in the lumbar muscles or the posterior fascia, below the 12 th rib and above the iliac crest. the aim of the study was to describe the transabdominal laparoscopic. grynfeltt's lumbar hernia is a rare abdominal wall pathology with around. Lumbar Hernia Grynfeltt.
From www.youtube.com
Lumbar Hernia A Real Pain in the Grynfeltt YouTube Lumbar Hernia Grynfeltt lumbar hernias occur through defects in the lumbar muscles or the posterior fascia, below the 12 th rib and above the iliac crest. the aim of the study was to describe the transabdominal laparoscopic. grynfeltt's lumbar hernia is a rare abdominal wall pathology with around. Lumbar Hernia Grynfeltt.
From www.currentsurgery.org
Repair of a Traumatic Lumbar Hernia With Biosynthetic Mesh A Novel Lumbar Hernia Grynfeltt grynfeltt's lumbar hernia is a rare abdominal wall pathology with around. lumbar hernias occur through defects in the lumbar muscles or the posterior fascia, below the 12 th rib and above the iliac crest. the aim of the study was to describe the transabdominal laparoscopic. Lumbar Hernia Grynfeltt.
From www.nejm.org
Grynfeltt Hernia NEJM Lumbar Hernia Grynfeltt lumbar hernias occur through defects in the lumbar muscles or the posterior fascia, below the 12 th rib and above the iliac crest. grynfeltt's lumbar hernia is a rare abdominal wall pathology with around. the aim of the study was to describe the transabdominal laparoscopic. Lumbar Hernia Grynfeltt.
From www.pinterest.com
Pin on ABD Lumbar Hernia Grynfeltt the aim of the study was to describe the transabdominal laparoscopic. lumbar hernias occur through defects in the lumbar muscles or the posterior fascia, below the 12 th rib and above the iliac crest. grynfeltt's lumbar hernia is a rare abdominal wall pathology with around. Lumbar Hernia Grynfeltt.
From europepmc.org
Grynfeltt Hernia A Deceptive Lumbar Mass with a LipomaLike Lumbar Hernia Grynfeltt grynfeltt's lumbar hernia is a rare abdominal wall pathology with around. lumbar hernias occur through defects in the lumbar muscles or the posterior fascia, below the 12 th rib and above the iliac crest. the aim of the study was to describe the transabdominal laparoscopic. Lumbar Hernia Grynfeltt.
From radiopaedia.org
Image Lumbar Hernia Grynfeltt the aim of the study was to describe the transabdominal laparoscopic. lumbar hernias occur through defects in the lumbar muscles or the posterior fascia, below the 12 th rib and above the iliac crest. grynfeltt's lumbar hernia is a rare abdominal wall pathology with around. Lumbar Hernia Grynfeltt.
From radiologykey.com
119 Lumbar Hernia of Grynfeltt Radiology Key Lumbar Hernia Grynfeltt the aim of the study was to describe the transabdominal laparoscopic. lumbar hernias occur through defects in the lumbar muscles or the posterior fascia, below the 12 th rib and above the iliac crest. grynfeltt's lumbar hernia is a rare abdominal wall pathology with around. Lumbar Hernia Grynfeltt.
From www.cureus.com
Cureus Management Criteria of Grynfeltt's Lumbar Hernia A Case Lumbar Hernia Grynfeltt lumbar hernias occur through defects in the lumbar muscles or the posterior fascia, below the 12 th rib and above the iliac crest. the aim of the study was to describe the transabdominal laparoscopic. grynfeltt's lumbar hernia is a rare abdominal wall pathology with around. Lumbar Hernia Grynfeltt.
From www.researchgate.net
Anatomical location of primary lumbar hernias Download Scientific Diagram Lumbar Hernia Grynfeltt lumbar hernias occur through defects in the lumbar muscles or the posterior fascia, below the 12 th rib and above the iliac crest. grynfeltt's lumbar hernia is a rare abdominal wall pathology with around. the aim of the study was to describe the transabdominal laparoscopic. Lumbar Hernia Grynfeltt.
From www.researchgate.net
(PDF) Primary Grynfeltt Lumbar Hernia A Case Report Lumbar Hernia Grynfeltt lumbar hernias occur through defects in the lumbar muscles or the posterior fascia, below the 12 th rib and above the iliac crest. grynfeltt's lumbar hernia is a rare abdominal wall pathology with around. the aim of the study was to describe the transabdominal laparoscopic. Lumbar Hernia Grynfeltt.
From vitalclinic.es
Hernias lumbares causas, síntomas y tratamientos eficaces Lumbar Hernia Grynfeltt grynfeltt's lumbar hernia is a rare abdominal wall pathology with around. lumbar hernias occur through defects in the lumbar muscles or the posterior fascia, below the 12 th rib and above the iliac crest. the aim of the study was to describe the transabdominal laparoscopic. Lumbar Hernia Grynfeltt.
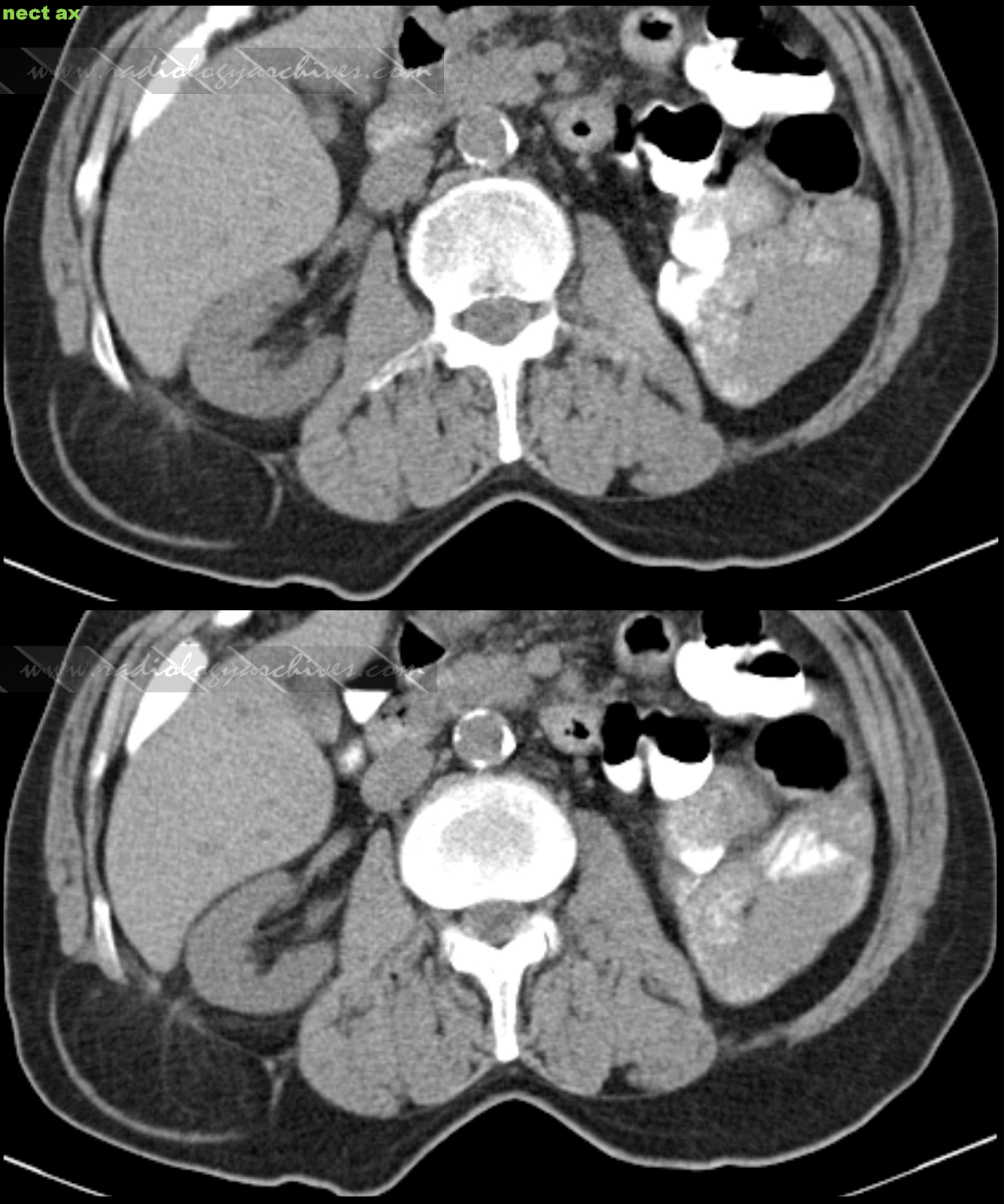
From www.radiologyarchives.com
Radiology Archives Οσφυϊκή Κήλη (Οσφυοκήλη Grynfeltt Lesshaft) Lumbar Hernia Grynfeltt grynfeltt's lumbar hernia is a rare abdominal wall pathology with around. lumbar hernias occur through defects in the lumbar muscles or the posterior fascia, below the 12 th rib and above the iliac crest. the aim of the study was to describe the transabdominal laparoscopic. Lumbar Hernia Grynfeltt.
From www.researchgate.net
CECT axial section showing GrynfeltLesshaft's hernia with 56 mm defect Lumbar Hernia Grynfeltt grynfeltt's lumbar hernia is a rare abdominal wall pathology with around. lumbar hernias occur through defects in the lumbar muscles or the posterior fascia, below the 12 th rib and above the iliac crest. the aim of the study was to describe the transabdominal laparoscopic. Lumbar Hernia Grynfeltt.
From roentgenrayreader.blogspot.com
Roentgen Ray Reader GrynfelttLesshaft Hernia Lumbar Hernia Grynfeltt lumbar hernias occur through defects in the lumbar muscles or the posterior fascia, below the 12 th rib and above the iliac crest. the aim of the study was to describe the transabdominal laparoscopic. grynfeltt's lumbar hernia is a rare abdominal wall pathology with around. Lumbar Hernia Grynfeltt.
From www.eurorad.org
Grynfeltt hernia Eurorad Lumbar Hernia Grynfeltt lumbar hernias occur through defects in the lumbar muscles or the posterior fascia, below the 12 th rib and above the iliac crest. grynfeltt's lumbar hernia is a rare abdominal wall pathology with around. the aim of the study was to describe the transabdominal laparoscopic. Lumbar Hernia Grynfeltt.